ホワイトニング
ホワイトニングとは、歯を削ることなく白くすることです。
ホワイトニングには”オフィスホワイトニング”と”ホームホワイトニング”がありますが、当院では現在のところホームホワイトニングという方法での歯の漂白を行っております。
名前の通り、お家で(寝ている間に)ホワイトニングをしていただきます。
方法
まず、お口に合わせたトレーを作製します。
寝る前に(歯を磨いてから)、トレーに薬液を入れて歯に装着して寝ていただきます。
トレーからはみ出さないように(液溜まりの中に)薬液を入れて、しっかりと歯に装着をしていただきます。
もしはみ出した場合はティッシュ等で拭ってください。
朝、トレーを外して通常通り歯を磨いていただきます。
治療例

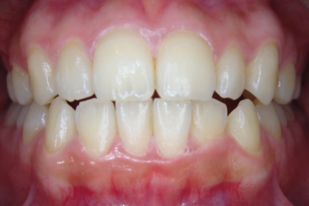
ホワイトニング前(上下の歯の色が同じです)
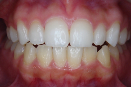
2週間、上あごのみを漂白したところの写真です(上下の歯の色の違いがわかると思います)
被せなどご自分の歯以外は漂白されません。
漂白の程度には個人差があります。
薬液によっては歯がしみるという症状が出る場合があります(ご相談下さい)。
施術料
ホワイトニングは保険外診療となります。
片顎のみ:16000円(税別)(トレーと薬液約1ヶ月分)
上下顎共:32000円(税別)(ただし、確認のため片顎ずつ施術いたします)

HOME